



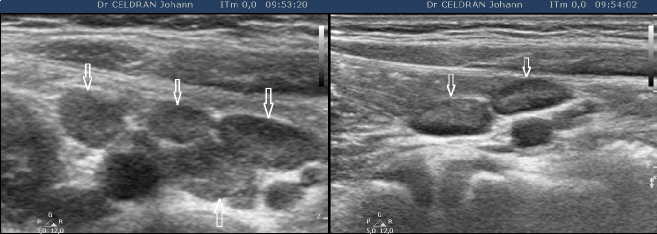
Celle d’une adénite mésentérique chez une petite fille âgée de 6 ans présentant une douleur franche de la fosse iliaque droite fébrile. Les images sont prises avec une sonde linéaire (haute fréquence) en fosse iliaque droite.
L’occasion de rappeler que l’adénolymphite mésentérique correspond à une inflammation des ganglions mésentériques, principalement des les quadrant inférieur droit. Chez l’enfant, on peut garder à l’esprit la répartition suivante (1) :
- quadrant inférieur droit chez 45% des enfants,
- régions para-aortiques chez 20% des enfants
- quadrant inférieur gauche chez14% des enfants.
L’âge médian des adénolymphite primitives est de 21 ans (2), et dans la population générale (ou du moins chez l’adulte), la présence d’au moins 3 ganglions de petit axe supérieur à 5mm est nécessaire pour diagnostiquer une adénolymphite.
Si ces ganglions ne sont habituellement pas observés dans la population générale adulte seine (2), les choses se compliquent un peu chez l’enfant puisque des ganglions lymphatiques mésentériques élargis (supérieur à 5mm de petit axe) sont présents chez de nombreux enfants en bonne santé : en effet, chez les enfants, le système lymphatique augmente rapidement de taille, en atteignant celui de l'adulte vers l'âge de 6 ans pour décroître ensuite lors de la puberté.
Chez l’enfant, la taille minimale du petit axe ganglionnaire peut, in fine, être considérée comme pathologique si elle est supérieure à 8mm (1) (2).
On retient finalement comme critères diagnostique d’adénite mésentérique de l’enfant :
- au moins 3 ganglions de petit axe supérieur 8mm
- un tableau clinique évocateur
- l’absence de signes échographiques orientant vers un caractère secondaire de l’adénolymphite (appendicite, iléite, colite infectieuse…)
(1) Nan Fang Yi Ke Da Xue Xue Bao. 2011 Mar;31(3):522-4. Enlarged mesenteric lymph nodes in children: a clinical analysis with ultrasonography and the implications].WANG WG1, TIAN H, YAN JY, LI T, ZHANG TD, ZHAO YP, ZHANG LY, XING HG.
(2) Macari M, Hines J, Balthazar E & Megibow A. Mesenteric adenitis: ct diagnosis of primary versus secondary causes, incidence, and clinical significance in pediatric and adult patients. AJR Am J Roentgenol (2002) 178: pp. 853-858.

Cliquez sur l’image pour la voir en pleine page.


